- Hot News最新消息
- 案例分享
- 內科
Hot News最新消息
2016/01/23
椎間盤突出~~Jimmy病例介紹
椎間盤突出
10歲的Jimmy來就診,四五天前發現右腳腳掌腫起來,這兩天又發現左前腳常有跛腳的感覺,
腳掌腫腫的
理學檢查
以為是左腳會痛,醫師經過神經學檢查後發現可能是頸椎神經的問題,因此安排了電腦斷層掃描,
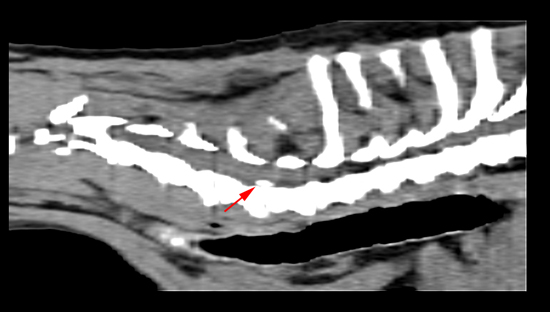
斷層掃描一
檢查結果發現是第六第七頸椎椎間盤突出壓迫到神經,導致他的左腳麻痺,頸椎也非常疼痛
斷層掃描二
考量到爸媽捨不得Jimmy馬上動這麼大的手術
醫師建議先以中藥和針灸控制,若有惡化則仍必須手術將壓迫神經的椎間盤突出物清除
*右腳為趾間炎,另X光檢查有輕微的肺炎